インプラント症例Implant Case
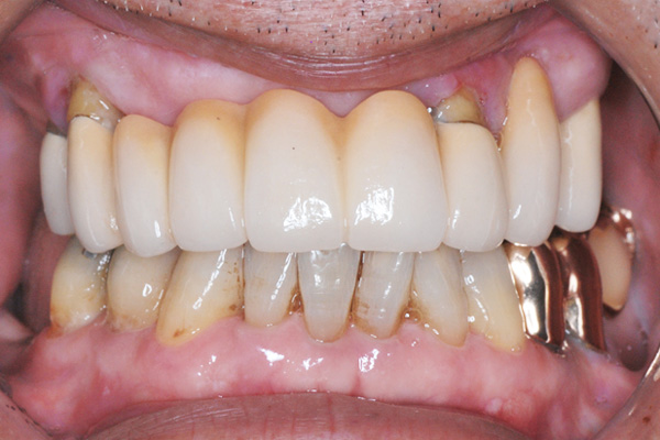
症例①
| Before | After |
|---|---|
![]() |
![]() |
| 主訴 | 前歯が膿んでいる |
|---|---|
| 治療期間 | 4ヶ月 |
| 治療費 | 330,000円〜550,000円 |
| 治療内容 | 右上中切歯(インプラント治療) |
| 治療のリスク | 治療後の疼痛・内出血、麻酔による一時的感覚の喪失 |
症例②
| Before | After |
|---|---|
![]() |
![]() |
| 主訴 | 前歯がグラグラする |
|---|---|
| 治療期間 | 8ヶ月 |
| 治療費 | 330,000円〜550,000円 |
| 治療内容 | 右上中切歯(骨移植+インプラント治療) |
| 治療のリスク | 治療後の疼痛・内出血、麻酔による一時的感覚の喪失 |
症例③
| Before | After |
|---|---|
![]() |
![]() |
| 主訴 | 左上奥にインプラントをしたい |
|---|---|
| 治療期間 | 10ヶ月 |
| 治療費 | 1,000,000円 |
| 治療内容 | 左上第一第二大臼歯(サイナスリフトとインプラント治療) |
| 治療のリスク | 治療後の疼痛・内出血、麻酔による一時的感覚の喪失 |
症例④
| Before | After |
|---|---|
![]() |
![]() |
| 主訴 | 入れ歯が合わない |
|---|---|
| 治療期間 | 1年 |
| 治療費 | 2,800,000円 |
| 治療内容 | 上顎全顎(インプラント治療) |
| 治療のリスク | 治療後の疼痛・内出血、麻酔による一時的感覚の喪失 |
症例⑤
| Before | After |
|---|---|
![]() |
![]() |
| 主訴 | もっと噛める様になりたい |
|---|---|
| 治療期間 | 1年6ヶ月 |
| 治療費 | 3,500,000円 |
| 治療内容 | 上顎全顎+右下第一大臼歯+左下第一二大臼歯(インプラント治療) |
| 治療のリスク | 治療後の疼痛・内出血、麻酔による一時的感覚の喪失 |
症例⑥
| Before | After |
|---|---|
![]() |
![]() |
| 主訴 | 上の歯がグラグラする、入れ歯が入れてられない |
|---|---|
| 治療期間 | 1年6ヶ月 |
| 治療費 | 3,600,000円 |
| 治療内容 | 上顎全顎+下顎左右第二小臼歯第一大臼歯(インプラント治療) |
| 治療のリスク | 治療後の疼痛・内出血、麻酔による一時的感覚の喪失 |
症例⑦
| Before | After |
|---|---|
![]() |
![]() |
| 主訴 | 上の歯がグラグラして食事が取れない |
|---|---|
| 治療期間 | 1年6ヶ月 |
| 治療費 | 3,200,000円 |
| 治療内容 | 上顎全顎+下顎第一大臼歯(インプラント治療) |
| 治療のリスク | 治療後の疼痛・内出血、麻酔による一時的感覚の喪失 |
症例⑧
| Before | After |
|---|---|
![]() |
![]() |
| 主訴 | 入れ歯を使いたくない |
|---|---|
| 治療期間 | 1年 |
| 治療費 | 1,800,000円 |
| 治療内容 | 右上側切歯〜左上犬歯(インプラント治療) |
| 治療のリスク | 治療後の疼痛・内出血、麻酔による一時的感覚の喪失 |
症例⑨
| Before | After |
|---|---|
![]() |
![]() |
| 主訴 | 入れ歯が合わない |
|---|---|
| 治療期間 | 1年 |
| 治療費 | 2,300,000円 |
| 治療内容 | 右上第二小臼歯〜左上側切歯(骨移植とインプラント治療) |
| 治療のリスク | 治療後の疼痛・内出血、麻酔による一時的感覚の喪失 |
症例⑩
| Before | After |
|---|---|
![]() |
![]() |
| 主訴 | インプラントで治療して欲しい |
|---|---|
| 治療期間 | 1年6ヶ月 |
| 治療費 | 3,200,000円 |
| 治療内容 | 上顎全顎+右下第一小臼歯〜第一大臼歯(インプラント治療) |
| 治療のリスク | 治療後の疼痛・内出血、麻酔による一時的感覚の喪失 |
































